近年来,钛合金由于其高强度以及较好的塑性和延展性,关于它的研究日益增多,特别是在航空航天方面.长沙大学的C.Li课题组就研究了Ti-5Al-4Zr-4Mo-2Cr-2Sn-1Fe合金在不同的热处理情况下组织和性能的变化。Ti-5Al-4Zr-4Mo-2Cr-2Sn-1Fe是一种典型的β亚稳态钛合金,由法国的Cezus公司发明。由于之前的研究大多只着重于微观结构,使得直观的比较会比较困难。该合金的名义β相变点是870±5℃,会高于其他的β钛合金。
在文中指出板条状的α相可以有效的提高强度和塑性,针状的α相的成长会使强度持续降低但对塑性没有影响。在α+β固溶处理后,合金的体积分数和球形α相的大小会有所减小,但对力学性能没有多大的影响;当在β相变点以上处理时,合金的强度会有一个很大的降低。文中还说时效后的样品会比其他热处理方案的样品有更好的综合性能。该项工作近期发表在Journal of Alloys and Compounds 684 (2016) 466-473。

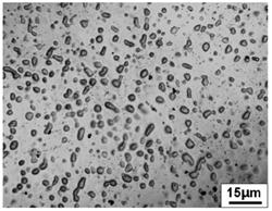
Fig. 1. The SEM micrograph of the as-received sample

Fig. 2. The typical microstructure of the atb solution treated sample

Fig. 3. A schematic diagram of the phase transformation in atb solution treatment
|